Số học sinh TP HCM ngộ độc thực phẩm tăng lên 184
Đại diện Sở Y tế TP HCM cho biết 141 ca đang theo dõi ngoại [...]
Apr
Bác sĩ: Hâm nóng chưa loại bỏ hết nguy cơ ngộ độc thực phẩm
Khi nhiệt độ vượt 35 độ C, thực phẩm rất dễ trở thành môi trường [...]
Apr
Bác sĩ cảnh báo ‘ly rượu rẻ’ giết người âm thầm
Bác sĩ Nguyễn Huy Hoàng, chuyên khoa Nội thuộc Hội Y học dưới nước và [...]
Apr
Bác sĩ nói rõ: Hâm nóng không loại bỏ hết nguy cơ ngộ độc thực phẩm
Khi nhiệt độ vượt 35 độ C, thực phẩm rất dễ trở thành môi trường [...]
Apr
Món cháo dân dã giúp ‘hạ nhiệt’ cơ thể trong ngày nắng nóng
Theo các chuyên gia dinh dưỡng, lựa chọn món ăn sáng phù hợp có thể [...]
Apr
Ở tuổi 77, ‘Võ Tắc Thiên’ Phan Nghinh Tử lão hóa ngược nhờ ăn táo mỗi ngày
Sự xuất hiện bất ngờ của Phan Nghinh Tử trên đường phố Thâm Quyến mới [...]
Apr
4 cách loại bỏ mỡ nội tạng không cần nhịn ăn
Bác sĩ Tiêu Tiệp Kiện (Xiao Jiejian), chuyên gia quản lý cân nặng tại Phòng [...]
Apr
Người bệnh tiểu đường nếu không bỏ cách ăn này, suy thận hồi nào không hay
Tiến sĩ Aswini Panigrahi, bác sĩ thận tại Bệnh viện chuyên khoa thận Apollo Dialysis [...]
Apr
Thanh niên 20 tuổi mắc giang mai sau quan hệ với bạn tình
Ngày 10/4, BSCKI. Dương Thị Thúy Quỳnh, khoa Điều trị Bệnh da nam giới, Bệnh [...]
Apr
Nắng nóng: Ăn tỏi sao cho khỏe mà không lo ‘nóng trong’?
Theo tiến sĩ Anju Sood, chuyên gia dinh dưỡng tại Ấn Độ, tỏi có tính [...]
Apr
Nam thanh niên 20 tuổi suýt mất mạng vì biến chứng viêm xoang
Chiều 10-4, theo thông tin từ Bệnh viện Tai mũi họng TP.HCM, các bác sĩ [...]
Apr
Cà Mau ghi nhận 3 ca nghi viêm não mô cầu, 1 trường hợp tử vong
Ngày 10.4, bác sĩ chuyên khoa 2 Trần Hiến Khóa, Giám đốc Trung tâm Kiểm [...]
Apr
Mừng hụt vì giảm 10 kg, người phụ nữ đi khám mới biết mắc ung thư
Bệnh viện Lý Gia ở thành phố Đài Trung, Đài Loan, Trung Quốc, mới đây [...]
Apr
Thai phụ bị 16 bệnh viện từ chối cấp cứu, ngành y tế Hàn Quốc báo động
Vụ việc một lần nữa làm dấy lên lo ngại về tình trạng thiếu hụt [...]
Apr
Hai bé trai thoát ‘cửa tử’ vì tay chân miệng do Enterovirus 71
Ngày 10-4, BS.CK2 Đỗ Châu Việt, Trưởng khoa hồi sức tích cực nhiễm, Bệnh viện [...]
Apr
Tây Ninh ghi nhận người thứ 7 chết nghi do bệnh dại, còn 85% chó mèo chưa tiêm phòng
Ngày 10-4, thông tin từ Sở Nông nghiệp và Môi trường tỉnh Tây Ninh cho [...]
Apr
Sốt cao, ban mờ nhạt – ‘bẫy’ chết người của bệnh tay chân miệng chủng EV71
Ngày 10/4, BS.CK2 Đỗ Châu Việt, Trưởng khoa Hồi sức tích cực Nhiễm, Bệnh viện [...]
Apr
Đi ăn về thấy mệt: Ngộ độc thực phẩm hay say nắng?
Ngày 10.4, dinh dưỡng viên Đoàn Thị Lương (Khoa Dinh dưỡng, Bệnh viện đa khoa [...]
Apr
Parkinson: Nhận diện sớm, điều trị đúng để sống chủ động
Việc kết hợp thuốc, phục hồi chức năng và các can thiệp chuyên sâu đang [...]
Apr
Phát hiện loại tế bào mới chỉ xuất hiện trong thai kỳ
Nghiên cứu được thực hiện bởi nhóm chuyên gia tại Đại học California, San Francisco [...]
Apr
Chuyên gia mách bài tập nhảy 3 lần mỗi tuần giúp trẻ cao vượt trội
Nhiều phụ huynh vì muốn con cao lớn đã sắp xếp cho trẻ tập kéo [...]
Apr
Bữa ăn nghi gây ngộ độc cho 148 học sinh TP HCM có gà kho, bánh flan
Chiều 10/4, đại diện Sở An toàn Thực phẩm TP HCM cho biết đã thành [...]
Apr
Bác sĩ chỉ ‘khung giờ vàng’ giúp bảo vệ thận và não mùa nóng
Bác sĩ Nguyễn Huy Hoàng, Hội Y học dưới nước và Oxy cao áp Việt [...]
Apr
Thêm nạn nhân tử vong sau khi bị chó cắn ở Tây Ninh
Ngày 10/4, Trung tâm Y tế khu vực Dương Minh Châu cho biết, trên địa [...]
Apr
Nắng nóng mùa thi: Cách tránh sốc nhiệt và giữ tỉnh táo
Ngày 10.4, bác sĩ Nguyễn Huy Hoàng, Hội Y học dưới nước và oxy cao [...]
Apr
Chóng mặt, buồn nôn, mệt mỏi… vì dùng điện thoại
Thế nhưng, ngày càng có những trường hợp chỉ cần cầm điện thoại lên đã [...]
Apr
Vụ học sinh trường Bình Quới Tây ở TPHCM nghi ngộ độc: Đã có 148 nạn nhân
Theo đó, tính đến sáng 10/4, theo báo cáo của các cơ sở y tế [...]
Apr
Phát hiện khuẩn Salmonella trong vụ hơn 100 học sinh TP HCM ngộ độc
Trưa 10/4, Giám đốc Sở Y tế TP HCM Tăng Chí Thượng cho biết kết [...]
Apr
Số học sinh TP HCM nghi ngộ độc thực phẩm tăng lên 148
Đại diện Sở Y tế TP HCM cho biết hiện 102 ca theo dõi ngoại [...]
Apr
Hàng trăm người Đà Nẵng mít tinh phát động Ngày Sức khỏe toàn dân, hướng tới phòng bệnh từ sớm
Lễ mít tinh với sự tham dự của khoảng 500 đại biểu là lãnh đạo [...]
Apr
Chống nắng tưởng đúng hóa sai: Da sạm, nguy cơ ung thư tăng
Bác sĩ chuyên khoa 1 Lê Cao Trí, Trung tâm Da – U máu, Bệnh [...]
Apr
Bị chó cắn từ nhiều tháng trước, người đàn ông tử vong nghi do bệnh dại
Ngày 10.4, tin từ Trung tâm y tế khu vực Dương Minh Châu (Tây Ninh) [...]
Apr
Hút thuốc lá điện tử bị phạt tới 5 triệu đồng
Mức phạt này được quy định tại Nghị định 90/2026 được Chính phủ vừa ban [...]
Apr
Bữa sáng của nữ diễn viên giảm thành công 28 kg trong 40 ngày
Nữ diễn viên Jin Seo-yeon, 43 tuổi, chia sẻ công thức bữa sáng trên Instagram [...]
Apr
4 nhóm thuốc nào được ưu tiên dự trù?
Bộ Y tế đã có công văn gửi UBND các tỉnh thành, bệnh viện và [...]
Apr
Những người coi ung thư là bệnh ‘mạn tính’
Người phụ nữ sống ở Đống Đa không nhớ mình đã ngồi im bao lâu [...]
Apr
Chuyên gia cảnh báo 3 nhóm thực phẩm nguy cơ gây ung thư
Để duy trì sức khỏe dẻo dai, bên cạnh việc khám định kỳ, chế độ [...]
Apr
Cà gai leo có giúp trị khỏi viêm gan B?
Thạc sĩ, dược sĩ Đoàn Thành Luân, Phó trưởng Bộ môn Dược học cổ truyền, [...]
Apr
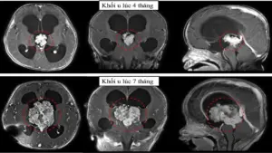
TPHCM: Cấp cứu cháu bé có khối u não to gấp ba lần chỉ trong 3 tháng
Ngày 8/4, đại diện Bệnh viện Nhi đồng 1 (TPHCM) cho biết, vừa qua các [...]
Apr
5 loại đồ uống giúp an thần, ngủ ngon
Trà hoa cúc Loại trà này được biết đến với tác dụng làm dịu hệ [...]
Apr
9 ‘nguyên tắc vàng’ trong ăn uống giúp trái tim khỏe mạnh
Bệnh tim mạch là nguyên nhân gây tử vong hàng đầu trên thế giới và [...]
Apr
Quan hệ 3-4 lần mỗi đêm có gây yếu sinh lý về sau?
Trả lời: Nhiều người e ngại “quan hệ nhiều sẽ hao sinh lực”. Thực tế, [...]
Apr
Vì sao nắng nóng dễ ngộ độc thực phẩm? Cách phòng tránh
Theo Cơ quan Tiêu chuẩn Thực phẩm Anh (FSA), vi khuẩn gây ngộ độc thực [...]
Apr
Tuổi trung bình hút thuốc lá điện tử là 16,9
Kết quả này được công bố tại hội thảo Thực trạng vi phạm quy định [...]
Apr
Đại biểu Quốc hội đề xuất nghiên cứu cấm hoặc hạn chế trẻ em sử dụng mạng xã hội
Chiều 9-4, tại buổi thảo luận về tình hình kinh tế xã hội và ngân [...]
Apr
Vắc xin phòng não mô cầu A,C,Y,W đã có nghiên cứu lâm sàng tại Việt Nam
Theo Tổ chức Y tế thế giới (WHO), mỗi năm toàn cầu ghi nhận hơn [...]
Apr
Hơn 15 triệu dân TP.HCM sớm được khám sức khỏe theo 3 nhóm giải pháp từ năm 2026
Ngày 9-4, đoàn công tác Bộ Y tế do Thứ trưởng Bộ Y tế Đỗ [...]
Apr
Hàng loạt dịch vụ có thể phát triển trong ‘kinh tế bạc’ ở Việt Nam
Đó là chia sẻ của ông Tô Đức – Cục trưởng Cục Bảo trợ xã [...]
Apr
Nắng nóng khó ngủ: Chuyên gia hướng dẫn cách thư giãn ‘gọi giấc ngủ’
Nhiệt độ phòng lý tưởng để ngủ thường ở mức 24 – 26°C. Nếu dùng [...]
Apr
4 dấu hiệu ở mắt cảnh báo sớm đường huyết vượt ngưỡng
Khi nồng độ đường glucose trong máu tăng cao hoặc dao động bất thường, các [...]
Apr
